Sırtta Belirli Bir Noktada Kaşıntı Neden Olur?
Sırt bölgesinde kaşıntı, birçok birey için rahatsız edici bir durumdur. Bu yazıda, kaşıntının nedenleri, belirtileri ve tedavi yöntemleri ele alınarak, etkili yaklaşımlar sunulacaktır. Sırt kaşıntısının yönetimi için önemli bilgiler içermektedir.
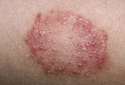
Sırt bölgesinde meydana gelen kaşıntı, birçok birey için rahatsız edici bir durumdur. Bu makalede, sırtın belirli noktalarında kaşıntının nedenleri, olası tetikleyicileri ve bu duruma yönelik yaklaşım yöntemleri ele alınacaktır. 1. Kaşıntının Tanımı ve MekanizmasıKaşıntı, ciltteki sinir uçlarının uyarılması sonucu oluşan rahatsız edici bir histi̇midir. Bu durum, vücudun bağışıklık sisteminin bir tepkisi olarak değerlendirilebilir ve genellikle ciltteki irritasyona veya iltihaba yanıt olarak ortaya çıkar. Kaşıntının mekanizması, histamin ve diğer kimyasal maddelerin salınımı ile ilişkilidir. 2. Sırt Kaşıntısının Olası NedenleriSırt bölgesindeki kaşıntının birçok olası nedeni bulunmaktadır:
3. Kaşıntının BelirtileriSırt kaşıntısının belirtileri genellikle aşağıdaki gibidir:
4. Tanı ve Değerlendirme YöntemleriSırt kaşıntısının nedenini belirlemek için çeşitli tanı yöntemleri kullanılabilir:
5. Tedavi SeçenekleriSırt kaşıntısının tedavisi, altta yatan nedenlere bağlı olarak değişkenlik gösterir:
6. Önleme YöntemleriSırt kaşıntısını önlemek için bazı önlemler alınabilir:
SonuçSırt kaşıntısı, bireylerin yaşam kalitesini olumsuz etkileyen bir durumdur. Olası nedenlerin belirlenmesi ve uygun tedavi yöntemlerinin uygulanması, bu rahatsızlığın yönetiminde kritik öneme sahiptir. Herhangi bir kaşıntı durumu için bir sağlık uzmanına danışmak, doğru tanı ve tedavi sürecinin başlamasında önemlidir. Ekstra BilgilerSırt kaşıntısının önlenmesi ve tedavisi konusunda, bireylerin cilt tipine ve genel sağlık durumuna göre kişiselleştirilmiş yaklaşımlar geliştirilmelidir. Ayrıca, psikolojik faktörlerin göz önünde bulundurulması, kaşıntı hissinin yönetiminde önemli bir rol oynayabilir. Bu nedenle, multidisipliner bir yaklaşım benimsenmesi önerilmektedir. |



















.webp)













.webp)

.webp)






.webp)




Sırtımda belirli bir noktada kaşıntı meydana geldiğinde, bu durumun neden kaynaklandığını anlamak için neler yapabilirim? Dermatolojik durumların yanı sıra, alerjik reaksiyonlar veya stres gibi psikolojik etmenler de kaşıntıyı tetikleyebilir mi? Ayrıca, bu kaşıntının tedavisi için en etkili yöntemler nelerdir? Özellikle günlük yaşamımda alabileceğim önlemler ile bu durumu nasıl yönetebilirim?
Kaşıntının Nedenlerini Anlama
Kaşıntının nedenini belirlemek için öncelikle kaşıntının başladığı bölgeyi dikkatlice incelemelisiniz. Kırmızı lekeler, kabartılar veya döküntüler var mı? Ayrıca, son zamanlarda yeni bir ürün kullanmaya başladıysanız (sabun, şampuan, losyon vb.) veya farklı bir yiyecek tükettiyseniz, bu değişiklikleri göz önünde bulundurmalısınız. Ayrıca kaşıntının ne zaman ve hangi koşullarda arttığını not etmek de faydalı olabilir.
Psikolojik Etmenler
Evet, stres ve kaygı gibi psikolojik durumlar kaşıntıyı tetikleyebilir. Stres, vücudun histamin salgılamasına neden olarak ciltte kaşıntı hissine yol açabilir. Eğer bu durumun psikolojik bir etkenden kaynaklanabileceğini düşünüyorsanız, rahatlama tekniklerini deneyebilir veya bir uzmandan destek alabilirsiniz.
Kaşıntı Tedavisi
Tedavi yöntemi, kaşıntının sebebine bağlıdır. Eğer alerjik bir reaksiyondan kaynaklanıyorsa, antihistaminikler etkili olabilir. Dermatolojik bir durum varsa, doktorunuzun önerdiği topikal kremler veya losyonlar kullanılabilir. Ayrıca, kaşıntıyı azaltmak için soğuk kompres uygulamak da rahatlatıcı olabilir.
Günlük Hayatta Alınabilecek Önlemler
Günlük yaşamda cildinizi nemli tutmak, aşırı sıcak ve soğuktan kaçınmak, sıkı ve tahriş edici kıyafetler giymemek önemlidir. Ayrıca, stresten kaçınmak için düzenli egzersiz yapmak ve yeterince uyumak da kaşıntıyı yönetmenizde yardımcı olabilir. Eğer kaşıntı devam ederse veya şiddetlenirse bir dermatologa başvurmanız önemlidir.